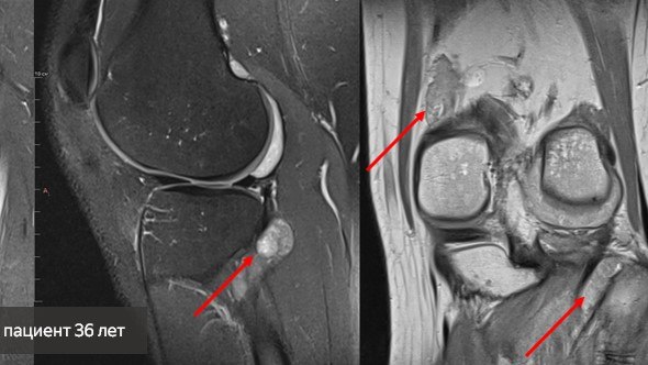
В Центре Илизарова во время плановых обследований пациентов диагностировали две необычные патологии опорно-двигательного аппарата. Для врачей такие находки становятся основой для научных исследований, а для пациентов – возможностью своевременно начать лечение.
В рамках национального проекта «Продолжительная и активная жизнь» в медучреждении совершенствуется система диагностики опасных заболеваний и осложнений. Современное оборудование позволяет выявлять жизнеугрожающие состояния на ранних стадиях.
Фото со страницы vk.com/ilizarovcentre.









































